용혈요독 증후군(HUS)은 주로 소아에게 발생하는 급성 신장 질환으로, 혈소판 감소와 적혈구 파괴로 인해 신장 기능이 급격히 저하되는 위험한 상태입니다. 세균 감염으로 인한 전형적 형태와 면역 또는 유전적 원인으로 발생하는 비전형적 형태로 구분됩니다.
용혈요독 증후군은 소아에게서 장출혈성 대장균 감염 이후 주로 발생하며, 조기 발견과 신속한 치료가 생명을 구하는 핵심입니다. 오염된 음식 섭취 후 피 섞인 설사나 소변 감소가 동반된다면 즉시 병원 진료를 받아야 합니다.

용혈요독 증후군의 주요 원인
⭐ 덜 익힌 고기나 비살균 우유는 전형적 HUS의 주요 감염 경로입니다.
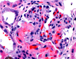
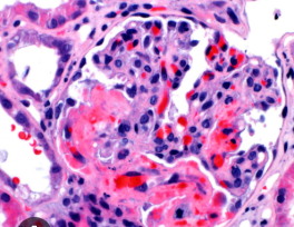
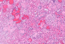
용혈요독 증후군은 대체로 장출혈성 대장균(O157:H7)이나 이질균, 살모넬라균 등에 오염된 음식 섭취로 발생합니다. 세균이 장벽에서 독소(Shiga toxin)를 생성해 혈관 내피를 손상시키며, 이로 인해 적혈구가 파괴되고 신장 내 모세혈관에 혈전이 형성됩니다. 비전형적 HUS는 유전적 결함, 면역억제제 사용, 폐렴구균 감염 등 다양한 원인에서 비롯될 수 있습니다. 특히 여름철 위생 관리 소홀 시 발생 위험이 높습니다. 안전한 조리와 식품 관리가 예방법의 핵심입니다.



용혈요독 증후군의 주요 증상
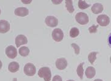
이 질환은 급성 신부전과 함께 나타나며, 피 섞인 설사, 구토, 복통 등의 장염 증상으로 시작됩니다. 이후 혈소판이 감소해 멍이 잘 들거나 코피가 나는 증상이 생기고, 창백함과 피로감이 동반됩니다. 소변량 감소나 부종, 혈압 상승은 신장 손상 징후입니다. 심한 경우 신경계 합병증이나 심장 손상으로 이어질 수 있습니다. 조기에 발견하면 대부분 회복이 가능하지만, 치료 지연 시 생명이 위험할 수 있습니다.



증상별 주의사항 및 관찰 포인트
환자가 소변량이 줄거나 부종이 나타나는 것은 신장 기능 저하를 의미합니다. 아이의 안색이 창백하거나 쉽게 멍이 드는 경우 즉시 병원으로 내원해야 합니다. 또한, 발열과 혈뇨, 구토가 지속된다면 신장 손상이 진행되고 있을 가능성이 높습니다. 의심 증상이 2일 이상 지속되면 반드시 혈액검사로 진단을 받아야 합니다.
- 피 섞인 설사 또는 혈변이 3일 이상 지속
- 소변이 줄거나 거품이 많아짐
- 피부 창백, 쉽게 멍이 들거나 코피



용혈요독 증후군의 진단 및 치료
⭐ 혈액검사와 소변검사가 핵심 진단 수단입니다.
진단은 혈액검사(빈혈, 혈소판 감소, 신장 기능 저하)와 소변검사로 이루어지며, 경우에 따라 대변에서 대장균 독소 검출을 시행합니다. 치료는 주로 수분 및 전해질 균형 유지와 혈압 조절에 초점을 두며, 신장 기능이 심하게 저하된 경우 투석 치료가 필요합니다. 전형적 HUS는 대부분 회복되지만, 일부 환자는 신부전이 영구적으로 남을 수 있습니다.



치료 후 경과와 예후
전형적인 경우 대부분 완전 회복되지만, 10% 내외의 환자에서 만성 신부전이나 고혈압 등 합병증이 남을 수 있습니다. 정기적인 신장 기능 추적 검사가 필요합니다. 재발 가능성이 있는 비전형적 HUS는 장기적인 관리가 중요합니다.
- 정기적 신장 기능 검사 필요
- 수분 섭취 및 혈압 관리 중요
- 면역억제제 사용 환자 주의 요망
- 합병증 발생 시 전문의 진료 필수
- 비전형적 HUS는 재발 감시 필요
용혈요독 증후군 예방법
| 예방수칙 | 내용 | 비고 |
| 식품 위생 | 덜 익힌 고기 섭취 금지 | 육류는 내부까지 충분히 익혀 조리 |
| 개인위생 | 손 씻기 생활화 | 특히 조리 전·후 철저히 세척 |
| 식수관리 | 살균된 물 사용 | 정수기 및 끓인 물 권장 |
| 유제품 | 비살균 우유 금지 | 정식 유통 제품만 섭취 |
예방을 위해서는 식품 위생 관리가 무엇보다 중요합니다. 덜 익힌 고기나 비살균 유제품 섭취를 피하고, 손 씻기 및 주방 위생 관리에 신경 써야 합니다. 특히 어린이는 감염에 취약하므로, 식중독 증상이 있을 시 즉시 진료를 받아야 합니다. 안전한 식습관이 용혈요독 증후군을 예방하는 가장 확실한 방법입니다.
결론
용혈요독 증후군은 신속한 진단과 치료가 이루어지면 대부분 회복이 가능하지만, 치료 시기를 놓치면 심각한 합병증을 초래할 수 있습니다. 피 섞인 설사, 부종, 소변 감소 등의 증상이 보이면 즉시 전문의 진료를 받아야 합니다. 예방을 위해 안전한 조리 습관과 철저한 위생 관리가 필요합니다. 조기 발견이 곧 생명을 지키는 첫걸음입니다.
키워드 FAQ
Q. 용혈요독 증후군은 왜 위험한가요?
A. 이 질환은 적혈구 파괴와 신장 기능 저하로 인해 체내 노폐물이 배출되지 않아 급성 신부전으로 진행될 수 있기 때문입니다. 특히 소아의 경우 신장 손상이 빠르게 진행되므로, 조기 진단과 치료가 생명에 직결됩니다. 피 섞인 설사나 부종이 나타나면 즉시 병원을 방문해야 합니다.
Q. 용혈요독 증후군은 전염되나요?
A. 직접적인 사람 간 전염은 드물지만, 오염된 음식이나 물을 함께 섭취할 경우 집단 감염이 발생할 수 있습니다. 따라서 식품의 위생적 관리가 매우 중요합니다. 감염자와 접촉 후에는 반드시 손을 씻고, 음식은 충분히 익혀 먹는 것이 좋습니다.
Q. 용혈요독 증후군은 완치가 가능한가요?
A. 네, 대부분의 전형적 용혈요독 증후군은 적절한 치료를 받으면 완치가 가능합니다. 다만 일부 환자는 신장 기능이 완전히 회복되지 않아 만성 신부전으로 이어질 수 있으므로, 회복 후에도 정기적인 검진이 필요합니다.
목차